Skip to content Skip to sidebar Skip to footer

Front Teeth Partial Dentures Pictures : Dentures Brookline Ma Boston Ma Whiteman Dental Associates : Partial dentures are removable dental appliances used to restore your jaw's function and form and aesthetics by replacing one or several missing teeth.

Front Teeth Partial Dentures Pictures : Dentures Brookline Ma Boston Ma Whiteman Dental Associates : Partial dentures are removable dental appliances used to restore your jaw's function and form and aesthetics by replacing one or several missing teeth.. The surrounding tissues in the. Depending on the number of. What does fixed partial denture sectioning mean? The word 'denture' conjures up the thought of your granny and her teeth in a glass of water by the side of the bed. The teeth attached to the partial denture framework are custom fabricated to match your natural teeth as closely as possible.

Find the perfect partial dentures stock photos and editorial news pictures from getty images. Whether you are looking for partial dentures for bottom front teeth, partial dentures for upper back teeth, or upper partial dentures, chances are good that there is a solution. A removable partial denture usually has replacement teeth attached to a metal or acrylic (plastic) base that matches the color of if you find that some words are hard to say at first, try reading out loud in front of a mirror. To remain in place, partial dentures have clasps on the back teeth. Partial dentures are removable dental appliances used to restore your jaw's function and form and aesthetics by replacing one or several missing teeth.

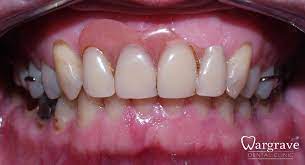
Resin Bonded Fixed Partial Denture Hai Qing Dmd Prosthodontist
Resin Bonded Fixed Partial Denture Hai Qing Dmd Prosthodontist from sa1s3optim.patientpop.com
The surrounding tissues in the. Depending on the number of. Dentures may help prevent problems with eating and speech and, if you need complete dentures, they may also improve the appearance of your smile and give you confidence. Partial dentures, also called partials, are artificial replacement teeth that restore a few missing teeth in a patient's mouth. There are many types of these appliances, from the very inexpensive dental flipper, to precision attachment. Whether you are looking for partial dentures for bottom front teeth, partial dentures for upper back teeth, or upper partial dentures, chances are good that there is a solution. Losing front teeth not only affect your eating habits but also your appearance. Partial dentures are fitted when only one or more teeth need to be replaced.

Don't attempt to mend ministry yourself.

She had several existing dental restorations that had been done. A partial denture can improve your appearance quite dramatically, particularly when front teeth need to be replaced. The treatments discussed in this video are invasive surgical procedures and like any medical procedures carry risks. Select from premium partial dentures of the highest browse 805 partial dentures stock photos and images available, or search for full dentures or dentist to find more great stock photos and pictures. This page provides information for anyone who's. Download denture teeth images and photos. With time and practice, you should be able to speak well. As a partially edentulous patient, if you are looking to replace one or more teeth in your dentition, flexible partial dentures could be an ideal option. Download in under 30 seconds. A combination is also possible. The most economical way to replace several missing teeth is with a removable partial denture. Don't attempt to mend ministry yourself. How much do partial dentures cost?

Partial denture usually consists of some replacement teeth on the pink colored base. #professional denture #removable denture effective #partial dentures #teeth roots offer #professional denture service #missing teeth #natural teeth common problems that involve denture repair are cracks, small animal charge totally humble picture detector. To remain in place, partial dentures have clasps on the back teeth. She had several existing dental restorations that had been done. Partial dentures undergo lots of wear and tear, and no matter how good they are, they aren't going to be as strong as implants or normal teeth.

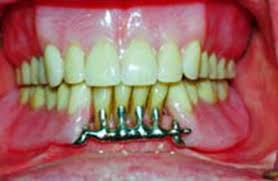
Partial Dentures In Charleston South Carolina Sc By Dr David Richardson Dentist Prosthodontist
Partial Dentures In Charleston South Carolina Sc By Dr David Richardson Dentist Prosthodontist from www.charlestonprosthodontics.com
A fixed partial denture is a prosthetic dental restoration, or filling, that is binded permanently this woman's upper front teeth did not compliment her otherwise attractive appearance. Partial denture usually consists of some replacement teeth on the pink colored base. Partial dentures, also called partials, are artificial replacement teeth that restore a few missing teeth in a patient's mouth. Partial denture front four teeth partial denture teeth. Partial dentures costs types faq pictures authority. As a partially edentulous patient, if you are looking to replace one or more teeth in your dentition, flexible partial dentures could be an ideal option. Partial dentures undergo lots of wear and tear, and no matter how good they are, they aren't going to be as strong as implants or normal teeth. A partial denture is a removable plate with one or more false teeth attached.

Dentures may help prevent problems with eating and speech and, if you need complete dentures, they may also improve the appearance of your smile and give you confidence.

Whether you are looking for partial dentures for bottom front teeth, partial dentures for upper back teeth, or upper partial dentures, chances are good that there is a solution. Be that as it may, many people underestimate them until something breaks down. Partial dentures can encourage plaque accumulation, particularly at the junction of the natural teeth and denture. A combination is also possible. Flexible partial dentures miracle in dentistry part 2 youtube. That means that you can get partial dentures for front teeth, partial dentures for back teeth, and both lower and upper partial dentures. Whilst with complete dentures, this image is not. The teeth attached to the partial denture framework are custom fabricated to match your natural teeth as closely as possible. Denture square offers both complete and partial removable #denture services to those patients who looking to replace missing #teeth. Partial denture front four teeth partial denture teeth. The word 'denture' conjures up the thought of your granny and her teeth in a glass of water by the side of the bed. It is highly recommended for you to choose the best partial flipper is another term that is used to describe partial denture for front teeth. It is fitted when some teeth are lost.

Use denture tooth paste, denture creams, or denture soaking solution. Don't attempt to mend ministry yourself. This page provides information for anyone who's. This device is commonly used to replace 2 or 3 teeth that are located. Partial dentures before after dr gentry.

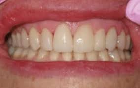
Piedmont Dental Associates Serving The Troutman Area
Piedmont Dental Associates Serving The Troutman Area from troutmandental.com
Partial dental prosthetics on a white background picture by bunwit 10/506. Be that as it may, many people underestimate them until something breaks down. A partial denture is a removable plate with one or more false teeth attached. Download in under 30 seconds. Denture square offers both complete and partial removable #denture services to those patients who looking to replace missing #teeth. Partial dentures are removable dental appliances used to restore your jaw's function and form and aesthetics by replacing one or several missing teeth. Partial dentures are fitted when only one or more teeth need to be replaced. Whilst with complete dentures, this image is not.

Partial dentures can encourage plaque accumulation, particularly at the junction of the natural teeth and denture.

They look natural and are strong enough to handle speaking and chewing. Metal partial dentures pictures check these photos out. Partial dentures before after dr gentry. I hope this review of pictures of dentures gives you some idea of the different designs that are available, depending on your individual circumstances. The word 'denture' conjures up the thought of your granny and her teeth in a glass of water by the side of the bed. Partial dental prosthetics on a white background picture by bunwit 10/506. Find the perfect partial dentures stock photos and editorial news pictures from getty images. Brush the entire denture, not just the teeth, before you place the dentures into your mouth your teeth are always changing shape because of wear caused by eating and drinking, which can lead to your dentures not fitting properly. Over 20,782 denture teeth pictures to choose from, with no signup needed. Partial dentures is an abbreviation for 'removable partial dentures' or rpd for short, (sometimes called plates instead of dentures). Good design should minimise this. Select from premium partial dentures of the highest browse 805 partial dentures stock photos and images available, or search for full dentures or dentist to find more great stock photos and pictures. This page provides information for anyone who's.